CHiMEra: la ricerca tra bioimmagini e architetture dei calcolatori

Stiamo assistendo a un’apertura verso l’utilizzo di tecnologie innovative sia in campo genomico che nell’analisi di immagini medicali e più in generale dei vari dati prodotti. Questa nuova spinta è fortemente legata all’accettazione di soluzioni basate su Intelligenza Artificiale, che al giorno oggi ha una forte trazione su molti campi applicativi

Negli ultimi anni il campo medico e biomedicale ha subito forti cambiamenti legati all’avanzamento delle tecnologie, ma soprattutto alla consapevolezza della necessità di adottare nuovi metodi per l’analisi dei dati prodotti quotidianamente in ospedale. Quello a cui si sta assistendo oggi è un’apertura verso l’utilizzo di tecnologie innovative sia in campo genomico che nell’analisi di immagini medicali e più in generale dei vari dati prodotti. Questa nuova spinta è fortemente legata all’accettazione di soluzioni basate su Intelligenza Artificiale, che al giorno oggi ha una forte trazione su molti campi applicativi. Negli ultimi anni, infatti, stiamo assistendo alla nascita di molteplici applicazioni che, sfruttando tecniche di Machine Learning, analizzano immagini supportando i medici nel processo diagnostico. Sempre più spesso infatti si trovano soluzioni tecnologiche che si stanno sperimentando anche in sala operatoria grazie all’uso di realtà virtuale, robot chirurgici e analisi di immagini real-time a supporto degli interventi chirurgi.

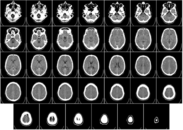
Questi avanzamenti tecnologici stanno certamente portando notevoli vantaggi da un punto di vista di riduzione del tempo di analisi dei dati dando anche la possibilità di supportare la ricerca medica con una diversa prospettiva sui dati già esistenti. Nonostante i vantaggi, però, l’introduzione di questi mezzi sta sollevando nuove problematiche, come la necessità di creare soluzioni trasversali che siano in grado di integrare dati differenti e di adattarsi all’utilizzo in diverse strutture. Una delle maggiori problematiche, infatti, sta nell’estrema variabilità dei dati medicali non solo in termini di diversi tipi di analisi, ma anche nell’ambito dello stesso esame di modelli di macchinari usati e intrinsecamente per variabilità inter-paziente.

In questo ambito, ad oggi al NECSTLab stiamo lavorando allo sviluppo di tool di analisi di immagini per creare soluzioni che supportino gli addetti del settore nel loro lavoro, sfruttando al massimo i dati prodotti da diversi esami che in un ospedale vengono fatti con cadenza quotidiana. Questo tipo d’analisi però spesso richiedono lunghi tempi di calcolo e per questa ragione, sfruttando le diverse conoscenze all’interno del laboratorio, si stanno esplorando diversi approcci di accelerazione di alcuni degli algoritmi utilizzati.
Inoltre stiamo studiando la possibilità di sviluppare strumenti che vadano a mitigare l’alta variabilità dei dati, rendendoli più adeguati per l’utilizzo da parte dei tool di analisi automatica.

Sicuramente il campo della progettazione e dello sviluppo di sistemi di supporto medicale è in forte crescita e in costante evoluzione anche connessa all’avanzamento delle tecnologie di acquisizione e utilizzo dei dati. Dal punto di vista della ricerca è una sfida molto interessante e non vedo l’ora di confrontarmici in maniera più sistematica. Dal punto di vista personale infatti ritengo che possa dare molte soddisfazioni non solo dal punto di vista tecnico ma soprattutto dal punto di vista dell’impatto che queste soluzioni possono avere sulla pratica clinica se sviluppate in modo adeguato.


Manageritalia collabora con NECSTLab per far conoscere questa Silicon Valley italiana e avere dalla loro voce un polso su quell’innovazione che partendo dall’Università impatta, e deve farlo sempre di più, sulla crescita della nostra economia, sul nostro lavoro e sulla vita di tutti i giorni. Un viaggio che dobbiamo fare tutti insieme. Stay tuned!

Facebook
LinkedIn
WhatsApp

Potrebbero interessarti anche questi articoli

Cerca